症例
治療
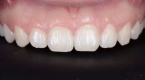
症例写真から歯が短く、歯並びが悪いのをラミネートベニアで改善。
歯茎ラインの不正と若干のガミースマイルを歯肉整形手術にて改善。
DT関の技術により非常に高いレベルでベニアが作製。
歯肉ラインとガミースマイルをクラウンレングスニングにより整形。
歯冠乳頭を長く美しく鼓形空隙を埋めるよう手術。瘢痕は見られない。
費用
110万円
治療期間
通院回数4回、通院期間3か月
before
after


before
after


笑った時に歯茎が見えるのをなんとかしたい
来院理由
他院にて行ったインビザライン処置の結果、ガミースマイルも歯並びも改善せず。なんとかして欲しい。
処置
写真の様に歯を沢山削らずほんの一部を削り薄くも丈夫なセラミックを被せました。
結果
経過3年、美しいスマイルを僅か3回の来院で得られ満足されています。
before
after

